


Este caso representa una forma de poliarteritis nodosa cutánea que es una forma limitada a piel, musculo y articulaciones y que a diferencia de la poliarteritis nodosa sistemica no presenta afectación de organos internos.
Panarteritis nudosa
cutánea infantil A. Núñez Giralda M. Espejo Ortega M. Ibáñez Rubio A.
Torrelo Fernández I. González Medierod J.C. López Robledillo
Observación clínica![]()
Observación clínica
Varón de 3 años y 2 meses, sin
antecedentes personales de interés, que ingresó por un cuadro febril de 3 días
de evolución y cojera del miembro inferior izquierdo. Cinco días antes presentó
un cuadro de rinofaringitis. En la exploración física el niño presentaba un buen
estado general, febril (38,2°C), presión arterial en el percentil 97, flexión de
cadera y rodilla izquierdas con limitación dolorosa de la movilidad y una lesión
costrosa en la parte externa del tobillo izquierdo. El resto de la exploración
fue normal. Ante la sospecha de artritis séptica de cadera izquierda se realizó
punción con control ecográfico, sin supuración, y se inició antibioterapia
empírica con cloxacilina y cefuroxima. Alas 24 h del ingreso la rodilla
izquierda estaba discretamente tumefacta con dolor a la movilización de dicha
articulación y cadera izquierda. Alos 3 días aparecieron lesiones nodulares
rojizas y dolorosas en ambos tobillos, muñeca derecha, espalda, codo derecho,
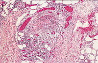
ambas manos y dedos (fig.1).Se realizó biopsia cutánea el cuarto día de su
ingreso, que puso de manifiesto una importante infiltración inflamatoria
polimorfa (linfocitos, neutrófilos y eosinófilos) en la hipodermis que
infiltraba la pared de los vasos de mediano calibre, con destrucción de la pared
y oclusión de la luz vascular. Con inmunofluorescencia directa se observó un C 3
+
en las paredes de los vasos (fig. 2).

