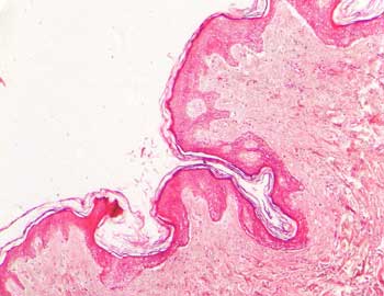
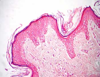
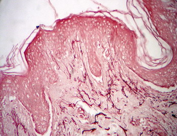
Visión general: presentamos un fragmento de piel fina para estudiar tanto el epitelio o epidermis como el conjuntivo laxo común que aparece justo por debajo de la capa epitelial constituyendo la dermis papilar y el conjuntivo fibroso denso no modelado e irregular, que conforma la dermis reticular, por debajo. En la profundidad encontraremos la hipodermis con abundante tejido adiposo y gruesas estructuras vasculares.
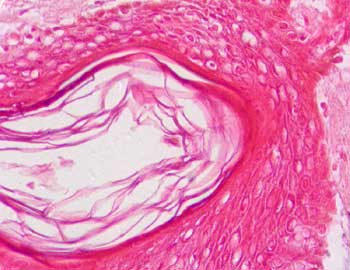
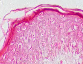
Visión específica: el tejido epitelial que cubre la superficie libre de este preparado, la epidermis, es un epitelio plano pluriestratificado queratinizado. La capa mas profunda esta constituida por una fila de células cúbicas, el estrato basal, por encima un número variable de capas de células poliédricas que progresivamente se van aplanando, el estrato espinoso, y ya en superficie, las células mas diferenciadas en su proceso madurativo las del estrato granuloso y del estrato córneo. En este caso es una piel fina por lo que la capa superficial de células anucleadas o escamas córneas no es muy ámplia. Se evidencia a mayores aumentos la diversa arquitectura de las tres regiones del conjuntivo o dermis. En la dermis papilar fibras mas finas y fundamentalmente orientadas perpendicularmente hacia la lámina epitelial y entre las que se observan numerosas células y capilares. Distinguimos el carácter fasciculado de los gruesos haces de las fibras de colágena, de la dermis reticular, separados por material no teñido que corresponde con la sustancia fundamental, y en donde se observan débilmente teñidas aisladas células y vasos. En profundidad podemos encontrar también glándulas sudoríparas, tanto porción secretora como excretora. En la porción más profunda podremos visualizar la estructuración de la hipodermis, con el tejido adiposo y las grandes estructuras vasculares que la conforman.
 |
 |
| Pod-4 Piel 4x |
 |
Pod-4 Piel 10x |
 |
 |
 |
| Pod-4 Piel 25x |
 |
Pod-4 Piel 40x |
 |
- Identificar el órgano atendiendo a los tejidos que lo
integran.
- Analizar el tipo de epitelio de la superficie libre.
- Identificar las células y el compartimiento fibroso.
- Cuantificar las proporciones de los diferentes componentes del
conjuntivo.
- Plantear diferencias de componentes y disposición de
los tipos de conjuntivo.
- Particularidades de la tinción en relación a este
preparado.
Visión general: presentamos el mismo fragmento de piel
fina con anexos, para estudiar con esta nueva técnica las fibras
elásticas del conjuntivo de la dermis papilar y de la dermis
reticular.
Visión específica: observamos con un
color rojizo marrón una malla o plexo subepitelial de fibras
elásticas. Por el contrario en profundidad, a nivel de la dermis
reticular, entre los gruesos haces de colágena ahora teñidos
muy pálidamente, observamos fibras finas de elástica dispuestas
por separado y solo reunidas alrededor de los vasos.
 |
 |
| Pod-5 Piel (Orceína)
4x |
 |
Pod-5 Piel (Orceína)
10x |
 |
 |
 |
| Pod-5 Piel (Orceína)
10x |
 |
Pod-5 Piel (Orceína)
40x |
 |
- Identificar el órgano y compararlo con el preparado anterior.
- Tipificar las fibras elásticas.
- Cuantificar las proporciones en los diferentes segmentos del conjuntivo.
- Particularidades de la tinción en relación a este
preparado.
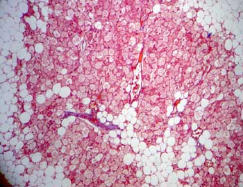
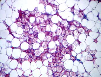
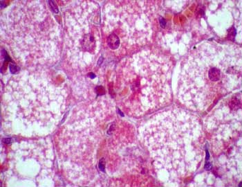
Visión general:
ofertamos un corte de tejido graso de localización perirrenal.
En él vamos a poder estudiar tanto la variante unilocular como
la multilocular. A bajos aumentos se observa el armazón conjuntivo
y la amplia vascularización que acompaña al tejido adiposo.
Por el hecho de tratarse de una técnica no específica
con inclusión en parafina, la grasa la vemos en visión
negativa, es decir como pequeños espacios intracelulares de color
blanquecino.
Visión específica: cuando estudiamos
el preparado a mayores aumentos hemos de analizar ambos tipos de grasa.
Las áreas uniloculares estarán constituidas por grandes
elementos de núcleos periféricos y una única vacuola
que ocupa prácticamente la totalidad del citoplasma. Las células
multiloculares se disponen en pequeños grupos, entre los lóbulos
de grasa unilocular, pero se observa con facilidad el menor tamaño
de las células, sus núcleos centrales y ligeramente deformados
y sobre todo su citoplasma repleto de múltiples gotas blanquecinas
que se corresponden con las inclusiones lipídicas.
 |
 |
| Pod-6 Grasa (Tricr.) 4x |
 |
Pod-6 Int. Grasa (Tricr.)
10x |
 |
 |
 |
| Pod-6 Grasa (Tricr.) 10x |
 |
Pod-6 Grasa (Tricr.) 40x |
 |
- Identificar el órgano.
- Señalar la organización del tejido graso y la participación
del conjuntivo vascularizado.
- Analizar la citología de la grasa unilocular.
- Identificar la citología de la grasa multilocular.
- Particularidades de la tinción en relación a este
preparado.
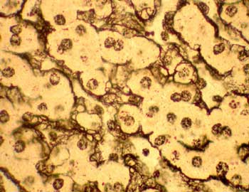
| Pod-7
Hígado (Reticulina) |
Visión general:
a pequeños aumentos se observa el armazón de soporte
de los cordones hepatocitarios y del sistema vascular y biliar,
que se constituye a expensas de una red tridimensional de fibras
de colágena tipo III o reticulina. Las fibras de reticulina
rodean una figura hexagonal conocida como lobulillo clásico.
Desde la periferia de este lobulillo clásico se dirigen
hacia el centro, rodeando a las láminas de hepatocitos.
También se encuentran rodeando a la vena centro-lobulillar
en el centro del lobulillo y al espacio porta, en los ángulos
del lobulillo clásico, donde se ubica una rama de la
arteria hepática, una rama de la vena porta y un conducto
biliar.
Visión específica: se dibuja
una malla fina de color negruzco que bordea los cordones hepatocitarios
(los núcleos de los hepatocitos se han marcado inespecíficamente
de oscuro), separándolos del endotelio de los sinusoides,
que radialmente se dirigen desde los tabique periféricos
del lobulillo hasta la vena centrolobulillar. Igualmente evidenciamos
el refuerzo del espacio porta alrededor de tres estructuras
huecas, que corresponderán cuando las visualicemos con
una técnica tintorial estándar al compartimiento
vásculo-biliar.
- Identificar el órgano.
- Tipificar las fibras de reticulina que constituyen las
paredes lobulillares.
- Señalar la proporción y distribución
diferencial de los espacios porta.
- Identificar el refuerzo de los cordones hepatocitarios
y la vena centrolobulillar.
- Particularidades de la tinción en relación
a este preparado.
|