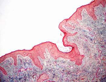
Visión general:
presentamos un fragmento de piel fina para estudiar tanto el conjuntivo
laxo común que aparece justo por debajo de la capa epitelial
o epidermis constituyendo la dermis papilar, como el tipo de conjuntivo
fibroso denso no ordenado, que con una mayor proporción de fibras,
conforma por debajo la dermis reticular. El plano mas profundo es la
hipodermis con una gran abundancia de tejido adiposo. Este preparado
nos permite también analizar la estructura de la epidermis o
epitelio de la superficie de la piel.
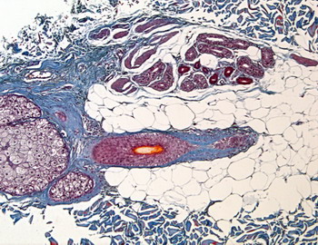
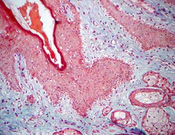
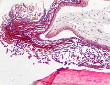
Visión específica: se evidencia a mayores
aumentos la diversa arquitectura de las tres regiones. En la dermis
papilar fibras más finas y fundamentalmente orientadas perpendicularmente
hacia la lámina epitelial pavimentosa estratificada queratinizada
y entre las que se observan numerosas células y capilares. Por
debajo se evidencia el carácter fasciculado de la dermis reticular,
con haces mas gruesos de las fibras de colágena separados por
material no teñido que corresponde con la sustancia fundamental;
y entremezcladas se observan aisladas células débilmente
teñidas, vasos, glándulas sudoríparas y glándulas
sebáceas asociadas a folículos pilosos. En la dermis profunda
se acumulan grandes cantidades de células adiposas uniloculares,
rodeadas de un conjuntivo vascularizado.
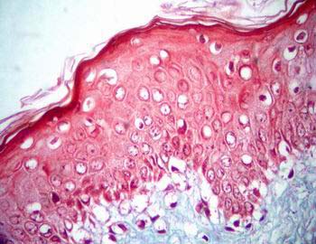
El tejido epitelial que cubre la superficie libre de este preparado,
la epidermis, es un epitelio plano pluriestratificado y queratinizado.
La capa mas profunda esta constituida por una fila de células
cúbicas, el estrato basal, por encima un numero variable de capas
de células poliédricas que progresivamente se van aplanando,
el estrato espinoso, y ya en superficie las células mas diferenciadas
en su proceso madurativo las del estrato granuloso y del estrato córneo.
En este caso es una piel fina por lo que la capa superficial de células
anucleadas o escamas córneas no es muy amplia.
 |
 |
| Pod-13 Piel (Tricr.) 4x
|
 |
Pod-13 Piel (Tricr.) 10x
|
 |
 |
 |
| Pod-13 Piel (Tricr.) 10x
|
 |
Pod-13 Piel (Tricr.) 40x
|
 |
- Identificar el órgano atendiendo a los tejidos que lo
integran.
- Analizar el tipo de epitelio de la superficie libre.
- Identificar las células y el compartimiento fibroso.
- Cuantificar las proporciones de los diferentes componentes del
conjuntivo.
- Plantear diferencias de componentes y disposición de
los tipos de conjuntivo.
- Particularidades de la tinción en relación a este
preparado.
| Pod-14
Piel gruesa (Tricrómico) |
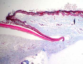
Visión general:
fragmento de epidermis y dermis. Se observa tanto el tejido epitelial como el conjuntivo subyacente con tejido adiposo y glándulas sudoríparas.
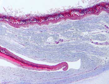
Visión específica: se identifica un epitelio plano pluriestratificado con diferenciación queratínica en superficie. Cuando realizamos la observación del área epitelial de superficie vemos que las células se disponen en 6-8 estratos, más por la disposición de los núcleos que no por los límites celulares, que no están bien definidos. Por su morfología y posición se identifican el estrato basal de células pequeñas y cúbicas, el espinoso constituido por células poliédricas de mayores dimensiones, el granuloso constituido por una o dos capas celulares prácticamente planas y el queratinizado en superficie con pérdida de los núcleos. En el caso del presente preparado por tratarse de una piel gruesa la cantidad de queratina en superficie es muy importante. El conjuntivo es densamente fibroso y con abundantes nervios, vasos sanguíneos de diferentes calibres, tejido adiposo blanco y glándulas sudoriparas.
 |
 |
| Pod-14 Piel (Tricr.) 4x |
 |
Pod-14 Piel (Tricr.) 10x |
 |
 |
 |
| Pod-14 Piel (Tricr.) 40x |
 |
Pod-14 Piel (Tricr.) 10x |
 |
- Identificar el órgano atendiendo a los tejidos que lo integran.
- Analizar el tipo de epitelio de la superficie libre.
- Identificar las células y el compartimiento fibroso.
- Cuantificar las proporciones de los diferentes componentes del
conjuntivo.
- Plantear diferencias de componentes y disposición de los
tipos de conjuntivo.
- Particularidades de la tinción en relación a este
preparado.
Visión general: extremo
distal de un dedo de un feto a termino. Muestra en la superficie dorsal
la placa córnea o uña. Comprende también epidermis
y dermis, y el soporte esqueletógeno del dedo en formación,
concretamente en el centro se observa un fragmento de la falange ósea
distal.
Visión específica: se identifica un epitelio
plano pluriestratificado con diferenciación queratínica
en la superficie del rodete ungueal y de la porción palmar del
dedo. La estructura de la piel, con todas sus capas del rodete al volverse
hacia el surco pierde sus papilas y la epidermis pierde sus capas córnea
(se extiende por la superficie libre de la placa ungueal constituyendo
el eponíquio o cutícula). El epitelio de la matriz ungueal,
en forma de V posee parte dorsal y parte ventral, originando la placa
ungueal. La placa o uña es la diferenciación acelular
queratinizada de un color eosinófilo intenso. El lecho ungueal,
constituido únicamente por estrato basal y espinoso de epidermis
y dermis, está intimamente adherido a la placa ungueal. A nivel
de la uña identificamos tanto el epitelio del lecho ungeal como
la diferenciación acelular cornea de la superficie de un color
eosinófilo intenso. El conjuntivo presenta numerosas glándulas
sudoríparas, vasos y terminaciones nerviosas.
|