| IB-1
Riñón (Hematoxilina-eosina) |
Visión general:
a pequeños aumentos el análisis de la sección renal permite diferenciar una zona cortical rica en estructuras glomerulares y tubulares y un área medular constituida fundamentalmente por túbulos renales cortados longitudinal y transversalmente. La utilidad de este preparado es permitir al alumno identificar distintos tipos de epitelios simples tanto a nivel de los diferentes segmentos de la nefrona, unidad estructural y funcional del riñón, como de la importante vascularización que las acompañan.
Visión específica: en la zona cortical se visualizan los corpúsculos renales con los glomérulos u ovillos vasculares, la cápsula de Bowman y el mesangiointraglomerular. En ellos tanto a nivel de los capilares como de la cápsula que los envuelve veremos epitelios planos simples. Entre los distintos corpúsculos renales observamos secciones longitudinales y transversales de los túbulos contorneados proximales (TCP) y distales (TCD). Los TCP aparecen tapizados por células prismáticas con superficie irregular confiriéndoles la apariencia de que la luz está ocupada, mientras que los TCD aparecen tapizados por células más bajas y con una luz ópticamente vacía. Intercalados aparecen estructuras vasculares y el intersticio de sostén, de tejido conjuntivo, escaso. En la médula observamos grandes túbulos colectores (TC) acompañados de otras estructuras ductales más pequeñas correspondientes a las asas de Henle (túbulos intermedios), estas últimas también recubiertas por epitelio plano simple. Los TC presentan un epitelio prismático con células claras y oscuras y las asas de Henle están tapizadas por células aplanadas en los segmentos finos y células cúbicas en los porciones gruesas. El intersticio renal medular es más abundante y contiene una gran riqueza de vasos sanguíneos.
 |
 |
| IB-1 Riñón
10x |
 |
IB-1 Riñón
20x |
 |
 |
 |
| IB-1 Riñón
20x |
 |
IB-1 Riñón
40x |
 |
| IB-2
Piel (Hematoxilina-eosina) |
Visión general: a pequeños aumentos observamos un fragmento de piel fina. En él encontramos una capa superficial, eosinófila, que corresponde a la epidermis, nos sirve como modelo para estudiar el epitelio plano pluriestratificadoqueratinizado. Inmediatamente por debajo encontramos una capa teñida de color rosa más pálido que corresponde a la dermis. La podemos diferenciar en dos capas: la dermis papilar, situada inmeditamente por debajo de la epidermis y formada por tejido conjuntivo laxo y la dermis reticular, por debajo, formada por tejido conjuntivo fibroso denso no ordenado y en donde asientan las estructuras anexas conocidas como folículos pilosos, glándulas sebáceas y glándulas sudoríparas.
Visión específica: se evidencia a mayores aumentos la diversa arquitectura de las tres regiones. La epidermis sobre la superficie libre de este preparado. Está formada por un epitelio plano pluriestratificado queratinizado. La capa más profunda de esta epidermis está constituida por una fila de células cúbicas, el estrato basal, por encima un número variable de capas de células poliédricas que progresivamente se van aplanando, el estrato espinoso, y ya en superficie las células más diferenciadas en su proceso madurativo, las del estrato granuloso y del estrato córneo, donde las células son planas y ya han perdido su núcleo. En este caso es una piel fina por lo que la capa superficial de células anucleadas o escamas córneas no es muy amplia. Por debajo de la epidermis se encuentra la dermis. En la dermis papilar, encontramos fibras de colágeno más finas y fundamentalmente orientadas perpendicularmente hacia la lámina epitelial pavimentosa estratificada queratinizada y entre las que se observan numerosas células y capilares. Por debajo se evidencia el carácter fasciculado de la dermis reticular, con haces mas gruesos de las fibras de colágena separados por material no teñido que corresponde a la sustancia fundamental. Entremezcladas con las fibras se observan aisladas células débilmente teñidas, vasos, glándulas sudoríparas y glándulas sebáceas asociadas a folículos pilosos. Las glándulas sebáceas se observan como acinos ocupados completamente por células claras con un contenido rico en lípidos y núcleo central, que se ha perdido ya en las células más maduras. Las glándulas sudoríparaas se observan como túbulos cortados transversalmente y revestidos por un epitelio simple o estratificado dependiendo de que se trate del adenómero o de la porción conductora.
 |
 |
| IB-2 Piel 4x |
 |
IB-2 Piel 40x |
 |
 |
 |
| IB-2 Piel 10x |
 |
IB-2 Piel 20x |
 |
Visión general: a pequeños aumentos observamos que se trata del mismo fragmento de piel fina con anexos visto anteriormente, pero ahora teñido con otra técnica, que nos pone en evidencia las fibras elásticas del conjuntivo, tanto de la dermis papilar como de la dermis reticular.
Visión específica: observamos en la dermis papilar, teñido con un color marrón rojizo, una malla o plexo subepitelial de finas fibras elásticas que se ramifican y anastomosan. Por el contrario en dermis reticular observamos, entre los gruesos haces de colágena ahora teñidos muy pálidamente, fibras elásticas dispuestas aisladamente, un poco más gruesas y solo reunidas alrededor de los vasos.
 |
 |
| IB-3 Piel (Orceína)
10x |
 |
IB-3 Piel (Orceína)
10x |
 |
 |
 |
| IB-3 Piel (Orceína)
20x |
 |
IB-3 Piel (Orceína)
40x |
 |
| IB-4
Tráquea (Hematoxilina-eosina) |
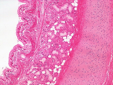
Visión general: a pequeños aumentos podemos observar la pared de la tráquea. Desde la luz hasta la profundidad de la pared nos encontramos con varias capas. En contacto con la luz se encuentra la mucosa formada por epitelio de revestimiento de tipo seudoestratificado cilíndrico ciliado con células caliciformes, por debajo se encuentra la lámina propia, rica en fibras elásticas y con abundantes vasos sanguíneo. Por debajo de la mucosa se encuentra la submucosa constituida por tejido conjuntivo laxo con abundantes glándulas seromucosas, fibras elásticas e infiltrado de adipocitos. Ya en profundidad encontramos al cartílago hialino, eosinófilo, rodeado por pericondrio.
Visión específica: a mayores aumentos observamos con mayor detalle el epitelio de la mucosa. Es un epitelio de tipo respiratorio (seudoestratificado cilíndrico ciliado con células caliciformes). Se observan muy bien los cilios de las células cilíndricas, las células caliciformes con su citoplasma muy claro y los núcleos a diferenes alturas. Descansa sobre una membrana basal gruesa. Por debajo, la lámina propia, formada por tejido conjuntivo denso con linfocitos, adipocitos, vasos sanguíneos, fibras elásticas y glándulas de tipo seromucoso.
 |
 |
| IB-4 Tráquea10x |
 |
IB-4 Tráquea 20x |
 |
 |
 |
| IB-4 Tráquea 40x |
 |
IB-4 Tráquea 63x |
 |
|