PRÁCTICA 1 - Tejido epitelial de revestimiento y glandular
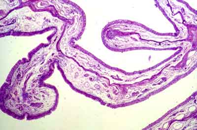
Visión
general: sección de las pequeñas
digitaciones de los plexos coroides donde podemos observar un epitelio
de revestimiento cúbico simple, sobre ejes conjuntivos vascularizados.
Los vasos son de diferente tamaño y están revestidos por
epitelio plano simple(endotelio). También se observan calcificaciones
correspondientes a cuerpos de Psamona.
Visión específica: células
isodiamétricas en único estrato, con núcleos redondos
y centrales.
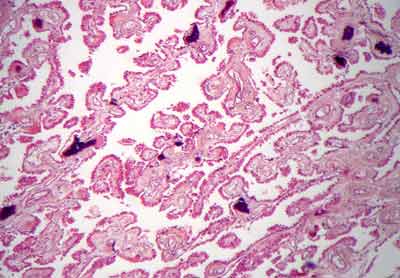
HG-01 Plexos coroides
(HE)
- Identificar
el órgano
- Objetivar
el epitelio y diferenciarlo del conjuntivo
- Tipificar
el tipo de epitelio que encontramos en superficie
- Tipificar
el epitelio del sistema vascular
- Resaltar
las particularidades tintoriales con la técnica empleada
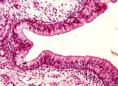
| HG-02 Mucosa nasal (Hematoxilina-eosina) |
Visión general: fragmentos de cornete
nasal que permite observar en superficie un revestimiento epitelial con
aspecto de pluriestratificación, que asentando sobre un conjuntivo
con vasos y glándulas se denomina mucosa respiratoria y se mantiene
por un eje esqueletógeno en la porción media.
Visión específica: al observar
el epitelio constatamos, a mayores aumentos, que la densidad celular y
por tanto nuclear varía en número y disposición.
En algunos campos aparecen con aspecto alargado los citoplasmas y los
núcleos en un único estrato, mientras que la forma mas habitual
de disposición es adoptando el patrón de pseudoestratificación.
Las células de reserva, triangulares y pequeñas, en los
niveles mas basales del epitelio presentan un núcleo redondeado,
las verdaderamente cilíndricas, mucho mas numerosas se encuentran
densamente dispuestas con lo que sus núcleos ovoides pueden situarse
tanto en los niveles intermedios como ocupando el citoplasma mas apical,
si bien el ultimo tercio del mismo no presenta núcleos sino las
diferenciaciones celulares que son en este tipo de epitelio dobles: las
células mas eosinófilas presentan un denso ribete de cilios
y las mas pálidas, con esta técnica, contienen secreción
de tipo mucoso.
Si estas células secretoras se presentan en pequeños grupos
las denominamos glándulas intraepiteliales, para diferenciarlas
de aquellas que observaremos en el conjuntivo, glándulas fundamentalmente
serosas. El eje de sostén es osteocartilaginoso.
 |
 |
HG-02 Cornetes 4x |
|
HG-02 Cornetes 20x |
|
 |
HG-02 Cornetes 40x |
|
| |
- Identificar
el órgano
- Localizar
el epitelio y enumerar su caracteres estructurales
- Distinguir
los diferentes tipos celulares que existen
- Valorar
el significado funcional de las diferenciaciones epiteliales
- Particularidades
de la tinción en relación a este preparado
Objetivos
específicos:
- Identificar
el órgano
- Situar
el epitelio y el conjuntivo
- Catalogar
sus caracteres estructurales, tipos celulares y disposición
- Paticularidades
de la tinción en relación a este preparado
| HG-04 Intestino grueso (Hematoxilina-eosina) |
Visión
general: corte de la pared del intestino
grueso como prototipo para el estudio de las glándulas tubulares
simples. Permite visualizar en la mucosa intestinal las glandulas y el
escaso tejido conjuntivo que queda entre ellas, así como también
el resto de los constituyentes de la pared, fundamentalmente músculo
liso.
Visión específica: se permite
la visualización de un epitelio de revestimiento de la luz, constituido
por enterocitos, muy escasos a este nivel y fundamentalmente situados
en los rodetes que quedan en la superficie libre entre las entradas de
las glándulas. Se puede si seleccionamos el área adecuada,
ver cortes glandulares siguiendo el eje mayor, situación que nos
va a facilitar la tipificación glandular, como cortes transversales
mas útiles para observar la interrelación con el conjuntivo.
De entre la celularidad glandular se beben de identificar las células
más pálidas cargadas de mucosustancias, y en distintos estadios
de replección.
 |
 |
| HG-04 Intestino grueso 10x |
 |
HG-04 Intestino grueso 20x |
 |
HG-04 Intestino grueso
(HE)
- Identificar
el órgano
- Enumerar
los criterios de clasificación para tipificar este preparado
- Identificar
glándulas en corte longitudinal y transversal
- Situar
y valorar el conjuntivo
- Particularidades
de la tinción en relación a este preparado
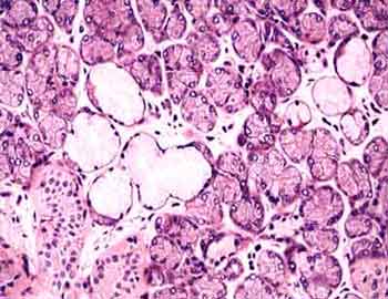
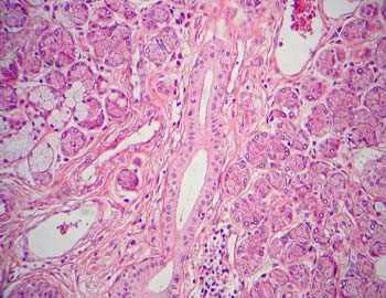
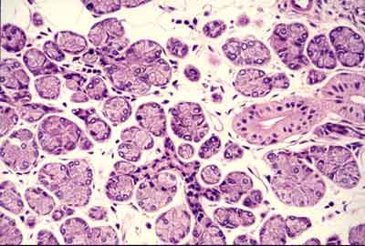
HG-05 Glándula submaxilar
(HE)
Objetivos
específicos:
- Identificar
el órgano
- Tipificar
la glándula y sus componentes
- Identificar
células serosas y células mucosas
- Situar
los tubos excretores y valorar sus diferentes calibres
- Particularidades
de la tinción en relación a este preparado
Objetivos
específicos:
- Identificar
el órgano
- Tipificar
las glándulas alveolares prostáticas normoconformadas
- Identificar
las glándulas alveolares prostáticas propias de la
senescencia
- Situar
el estroma conjuntivo y sus células
- Particularidades
de la tinción en relación a este preparado
|