Tejido conjuntivo
| Med-7
Cordón umbilical (Hematoxilina-eosina) |
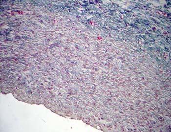
Visión general: presentamos una sección transversal de un cordón.
Observareis el tejido epitelial en el contorno, revistiendo la superficie
externa y tapizando la luz de los vasos, tanto de las tres grandes estructuras
centrales como de pequeños capilares dispersos por un abundante
tejido con mucha sustancia intercelular y pocas células, que se
denomina conjuntivo mucoso. Las fibras, fundamentalmente de colágena,
son muy finas, y el compartimento mas notorio es la sustancia fundamental,
glicoproteinas, proteinglicanos dispersos en agua.
Visión específica: se observan
en el interior de los tres grandes vasos centrales el contenido hemático
y alrededor un refuerzo de fibras musculares lisas. Ya por fuera de los
mismos disminuye la coloración dado el carácter amorfo de
la sustancia fundamental. Ello nos permitirá con facilidad ver
las finas fibras de colágena, de carácter eosinófilo,
y los cuerpos de las células fibroblásticas como elementos
elongados o estrellados.
 |
 |
| Med-7 Cordón
umbilical 4x |
 |
Med-7 Cordón
umbilical 20x |
 |
- Identificar el órgano
- Identificar las células y el compartimento fibroso
- Cuantificar las proporciones de los diferentes componentes del conjuntivo
- Tipificar las estructuras vasculares y sus componentes
- Particularidades de la tinción en relación a este
preparado
 |
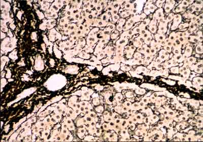
Med-8
Hígado (Reticulina) 20x |
|
|
Objetivos específicos:
- Identificar el órgano
- Tipificar las fibras de reticulina que constituyen las paredes lobulillares
- Señalar la proporción y distribución diferencial
de los espacios porta
- Identificar el refuerzo de los cordones hepatocitarios y la vena
centrolobulillar
- Particularidades de la tinción en relación a este
preparado
Objetivos específicos:
- Identificar el órgano
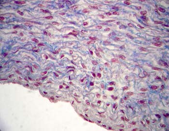
- Tipificar las fibras de colágena y su disposición
en las distintas capas
- Señalar la posición y organización laminar
de las fibras de elástica
- Identificar las células de la capa media y su localización
interlaminar.
- Particularidades de la tinción en relación a este
preparado
Objetivos específicos:
- Identificar el órgano
- Tipificar las fibras de elástica y su organización
laminar
- Particularidades de la tinción en relación a este
preparado
| Med-11
Grasa perirrenal (Tricrómico) |
Visión general: ofertamos un corte de tejido graso de localización perirrenal,
y en el vamos a poder estudiar tanto la variante unilocular como la multilocular.
A bajos aumentos se observa el armazón conjuntivo y la amplia vascularización
que acompaña al tejido adiposo. Por el hecho de tratarse de una
técnica no especifica con inclusión en parafina, la grasa
la vemos en visión negativa, es decir como pequeños espacios
intracelulares de color blanquecino.
Visión específica: cuando estudiamos
el preparado a mayores aumentos hemos de analizar ambos tipos de grasa.
Las áreas uniloculares estarán constituidas por grandes
elementos de núcleos periféricos y una única vacuola
que ocupa practicamente la totalidad del citoplasma. Las células
multiloculares se disponen en pequeños grupos, entre los lóbulos
de grasa unilocular, pero se observa con facilidad el menor tamaño
de las células, sus núcleos centrales y ligeramente deformados
y sobretodo su citoplasma repleto de multiples gotas blanquecinas que
se corresponden con las inclusiones lipídicas.
 |
 |
| Med-11 Grasa perirrenal
(Tric.) 4x |
 |
Med-11 Grasa perirrenal
(Tric.) 20x |
 |
- Identificar el órgano
- Señalar la organización del tejido graso
- Analizar la citología de la grasa unilocular
- Identificar la citología de la grasa multilocular
- Particularidades de la tinción en relación a este
preparado
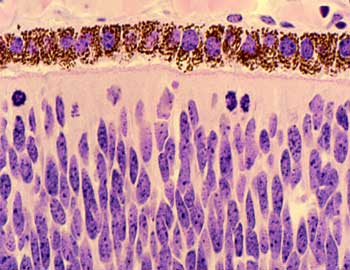
- Identificar el órgano
- Señalar la organización y ubicación del tejido
pigmentario de disposición epitelial
- Analizar la citología pigmentaria epitelial
- Identificar la citología pigmentaria de localización
conjuntiva.
- Particularidades de la tinción en relación a este
preparado
|