Tejido muscular y nervioso
| Med-17
Intestino delgado (Hematoxilina eosina) |
Visión general: una sección de la pared del intestino delgado ha sido seleccionada para mostrar diferentes formas de presentarse las células musculares lisas. A pocos aumentos nos permite observar las vellosidades intestinales como evaginaciones de la mucosa revestidas por un epitelio en el que destacan las células absortivas, y entre ellas las glándulas tubulares rectas que se introducen en profundidad y que ya estudiabamos en la practica de epitelios glandulares. Por debajo de esta capa mucosa, aparece la submucosa y por fuera una capa muscular bien desarrollada responsable del peristaltismo intestinal.
Visión específica: cuando a mayores aumentos pasamos a buscar células musculares lisas hemos de detenernos en tres zonas diferentes. Primero en la propia vellosidad intestinal en cuyo eje conjuntivo aparecen junto con el quilífero central algunas células de esta naturaleza que constituyen el músculo de Brüke, las observamos preferentemente cortadas en sentido longitudinal y aparecen como elementos alongados de núcleo único y central. Posteriormente y tras repasar la ya conocida arquitectura de las glándulas llegamos a su limite inferior en donde una fina capa muscular lisa marca el paso a la submucosa. Se conoce como capa muscular de la mucosa. Tras pasar por esta capa conjuntiva submucosa llegamos a una doble capa de células musculares, las vemos cortadas tanto en sentido longitudinal como transversal constituyendo gruesas túnicas.
- Identificar el órgano
- Analizar la citología muscular lisa
- Estudiar en el intestino sus diferentes formas de presentación
- Particularidades de la tinción en relación a este preparado
Objetivos específicos:
- Identificar el órgano
- Analizar la estriación en los cortes longitudinales
- Visualizar la ausencia de estriación en los cortes trasversales
- Particularidades de la tinción en relación a este preparado
Objetivos específicos:
- Identificar el órgano
- Analizar la estriación en los cortes longitudinales
- Visualizar los núcleos y los discos intercalares
- Particularidades de la tinción en relación a este preparado
Objetivos específicos:
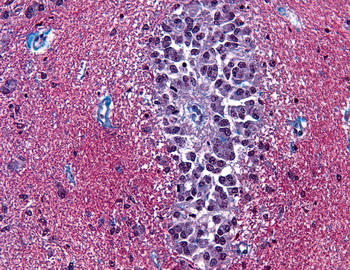
- Identificar el órgano
- Localizar el conducto ependimario
- Visualizar las diversas neuronas según su tamaño y distribución
- Estudiar la sustancia blanca periférica
- Observar las membranas meníngeas que rodean a la médula
| Med-21 Corteza cerebral (PGFA) |
Visión general: se trata de una tinción inmunohistoquímica para detectar filamentos gliofibrilares de los astrositos (Proteína gliofibrilar ácida). Se distingue la matriz fibrilar de la membrana pioglial intensamente teñida de marrón en la superficie de la corteza cerebral así como el citoesqueleto de los astrocitos.
Visión específica: el conglomerado fibrilar de la membrana pioglial perteneciente a los gliofilamentos de las prolongaciones astrocitarias dirigidas a la superficie cerebral así como los filamentos que ocupan los somas de la astroglia fibrilar y protoplásmica presentan un intenso inmunomarcaje.
 |
| |
Med-21 Corteza cerebral (PGFA) 40x |
 |
|
Objetivos específicos:
- Identificar filamentos gliales mediante una técnica inmunohistoquímica.
- Diferenciar astrocitos de otros elementos gliales y neuronales.
Objetivos específicos:
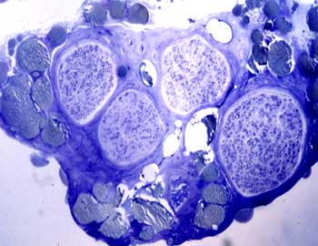
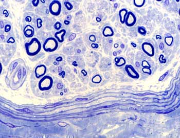
- Analizar las distintas cubiertas conectivas de un nervio periférico
- Estudiar las características morfológicas de la FNM y FNA.
|