Órganos del sistema nervioso, aparato respiratorio y circulatorio
| M Esp-1
Cerebelo (Hematoxilina-eosina) |
Visión general: a pequeño aumento se distinguen las hendiduras cerebelosas en la superficie del órgano con restos de tejido meníngeo, delimitando las más pequeñas o también llamadas hendiduras terciarias los elementos básicos de la laminilla cerebelosa.. La SB forma el eje de la laminilla y la SG la porción periférica de dicha estructura.
Visión específica: a mayor aumento podemos delimitar en la SG y de superficie a profundidad las tres capas arquitecturales: capa molecular o superficial, capa de las células de Purkinje o intermedia y capa de los granos cerebelosos o profunda. En íntimo contacto esta última nos encontramos con la SB, rica en fibras nerviosas y células gliales. En la capa molecular, en contacto con la superficie meníngea veremos escasas células neuronales y gliales con abundante neuropilo. La capa de células de Purkinje se distingue por los grandes somas piriformes neuronales de citoplasma eosinófilo y núcleo redondeado con nucleolo evidente que en ocasiones muestra la salida del gran tronco dendrítico en dirección a la capa superficial. La capa de los granos es densamente celular con elementos redondeados neuronales de pequeño tamaño con escaso neuropilo. Por último la sustancia blanca esta constituida por fibras nerviosas y celularidad escasa glial formando el eje de la laminilla y el tronco del cerebelo.
- Identificar la laminilla cerebelosa.
- Analizar las distintas capas de la SG.
- Caracterizar los elementos celulares de la capa de las células de Purkinje.
- Resaltar las diferencias entre SB y SG.
- Estudiar las fibras nerviosas mielínicas, fundamentalmente de la SB mediante la técnica histoquímica específica empleada.
| M Esp-3 Ganglio simpático (Hematoxilina-eosina) |
Visión general: a pocos aumentos (4x) observamos una estructura eosinófila en cuya porción central aparece una vena de luz irregular junto con abundante tejido adiposo. A ambos lados apreciamos unas estructuras encapsuladas que albergan múltiples elementos neuronales que se disponen en pequeños grupos.
Visión específica: en las restantes imágenes apreciamos a mayor aumento (10x y 40x) somas neuronales grandes, con gruesos nucleolos y pigmento de desgaste en el pericarion junto con cúmulos basófilos de sustancia de Nissl. Los somas neuronales están rodeados por una pequeña población de células satélite o perineurales que los rodean. El resto del parénquima esta formado por pequeños vasos capilares rellenos de eritrocitos, tejido conjuntivo y fibras nerviosas.
 |
 |
| M Esp-3 Ganglio simpático 4x |
|
M Esp-3 Ganglio simpático 10x |
|
 |
 |
| M Esp-3 Ganglio simpático 10x |
|
M Esp-3 Ganglio simpático 40x |
|
- Estudiar los diferentes tejidos que rodean a los ganglios (vasos, tejido adiposo fascículos nerviosos), así como la cápsula fibrosa que rodea a cada uno de los ganglios.
- Caracterización de los elementos neuronales y las células satélite que los constituyen.
| M Esp-4
Pulmón (Hematoxilina-eosina) |
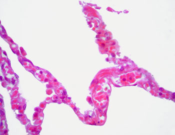
Visión general: a pequeños aumentos distinguimos la arquitectura pulmonar característica con los espacios aireados óptimamente vacíos y delimitados por tabiques finos o septos alveolares. Junto con estas estructuras se aprecian tabiques fibrosos más gruesos con vasos arteriales de mediano y pequeño calibre así como luces bronquiolares de distintos tamaños.
Visión específica: los espacios alveolares aparecen tapizados por células aplanadas neumocitarias, alguna de las cuales ubicadas en los ángulos de intersección alveolar presentan una morfología cúbica correspondientes a neumocitos tipo II. En algunas luces alveolares aparecen células macrofágicas. Los finos tabiques alveolares contienen capilares, fibroblastos y algún macrófago de los septos. En los tabiques más gruesos detallamos la presencia de arterias musculares junto con bronquiolos con su epitelio cilíndrico ciliado con células mucosecretoras y su soporte parietal fundamentalmente constituido por células musculares lisas.
 |
 |
| M Esp-4
Pulmón 4x |
|
M Esp-4
Pulmón 10x |
|
 |
 |
| M Esp-4
Pulmón 20x |
 |
M Esp-4
Pulmón 40x |
 |
- Estudio de los componentes celulares del alveolo y tabique alveolar.
- Características de la vascularización y vía aérea bronquiolar.
| M Esp-6 Vasos sanguíneos (Orceína) |
De un color rojo-ocre quedan delimitadas las fibras elásticas que forman las dos capas limitantes elásticas interna y externa arteriales, la capa limitante elástica interna única de las estructuras venosas y las fibras elásticas aisladas distribuidas irregularmente sin formar un continuo en la media y adventicia tanto arterial como venosas.
 |
 |
| M Esp-6
Vena (Orceína) 10x |
 |
M Esp-6
Arteria (Orceína) 20x |
 |
Objetivos
específicos:
- Análisis diferencial de las paredes de vasos arteriales y venosos.
- Estudio de las fibras colágenas en las paredes arteriales y venosas.
- Estudio de las fibras elásticas configurando láminas elásticas y fibras aisladas en las paredes vasculares.
|