Órganos del sistema digestivo y urinario
| M Esp-9 Esófago (Hematoxilina-eosina) |
Visión general: a pequeño aumento se distinguen las distintas capas del tubo esofágico. En relación con la luz observamos la mucosa, por debajo de la cual se aprecia el tejido conectivo y las glándulas de la submucosa, el armazón muscular de la pared esofágica y la fina capa adventicia periférica.
Visión específica: la mucosa aparece constituida por un epitelio pavimentoso estratificado no queratinizado que descansa sobre una membrana basal que le separa de la lámina propia conectiva rica en células linfoides. La submucosa está constituida por un conectivo laxo rico en vasos sanguíneos y glándulas tubulares mucosas. El armazón muscular presenta fibras musculares cortadas en los distintos planos alternando fibras multinucleadas estriadas y células fusiformes de núcleo central lisas. Nos encontramos pues en una sección del tercio medio del esófago. La adventicia aparece constituida por un tejido conjuntivo laxo con adipocitos y pequeños vasos sanguíneos.
 |
 |
| M Esp-12 Esófago 10x |
 |
M Esp-12 Esófago 40x |
 |
- Identificar la arquitectura en capas del conducto esofágico.
- Análisis detallado de la constitución histológica de la capa mucosa, submucosa, muscular y adventicia.
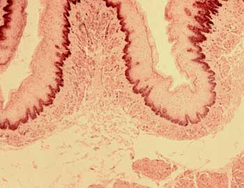
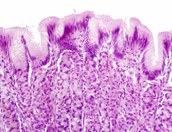
| M Esp-10 Estómago (Hematoxilina-eosina) |
Visión general: se trata de un pequeño fragmento de mucosa gástrica de tipo corporal. A pequeños aumentos se distingue el revestimiento mucoso superficial y la población glandular densa correspondiente a las glándulas mucosas tubulares rectas. Subyacente a las glándulas mucosas aparece una fina lámina muscular o muscularis mucosae que la separa del tejido conectivo vascular de la submucosa.
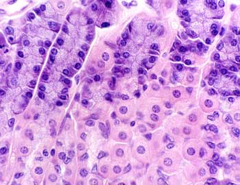
Visión específica: El epitelio de revestimiento aparece constituido por células cilíndricas mucosecretoras de polo apical cerrado constituyendo una lámina secretora. En las glándulas tubulares de la mucosa gástrica se aprecian dos tipos fundamentales de células: células parietales u oxínticas de citoplasma amplio eosinófilo y núcleo redondo pequeño central y las células principales de menor tamaño y citoplasma más basófilo y menos aparente. Entre las glándulas se aprecia un fino estroma conjuntivo que constituye la lámina propia. La muscular de la mucosa está constituida por escasa células musculares lisas.
 |
 |
| M Esp-13 Estómago 4x |
 |
M Esp-13 Estómago 10x |
 |
 |
 |
| M Esp-13 Estómago 20x |
 |
M Esp-13 Estómago 40x |
 |
- Distinguir las capas mucosas y submucosas del cuerpo gástrico.
- Características citológicas de la lámina secretora de revestimiento.
- Composición de las glándulas de la mucosa corporal gástrica.
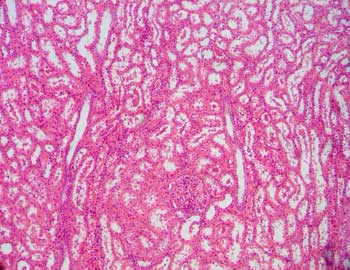
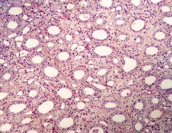
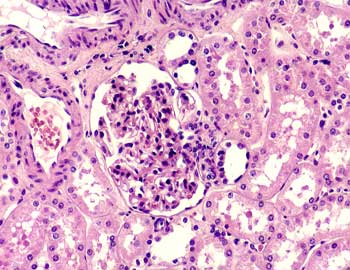
| M Esp-15 Riñón (Hematoxilina-eosina) |
Visión general: a pequeños aumentos el análisis de la sección del parénquima renal permite diferenciar una zona cortical rica en estructuras glomerulares y tubulares y un área medular constituida fundamentalmente por túbulos renales cortados longitudinal y transversalmente.
Visión específica: en la zona cortical se visualizan los glomérulos con el ovillo vascular, la cápsula de Bowman y el mesangio intraglomerular. Entre los distintos glomérulos observamos secciones longitudinales y transversales de los túbulos contorneados proximales (TCP) y distales (TCD). Los TCP aparecen tapizados por células prismáticas con superficie irregular confiriéndoles la apariencia de que la luz está ocupada mientras que los TCD aparecen tapizados por células más bajas y con una luz óptimamente vacía. Intercalados aparecen estructuras vasculares y el intersticio de sostén escaso. En la médula observamos grandes túbulos colectores (TC) acompañados de otras estructuras ductales más pequeñas correspondientes a las asas de Henle. Los TC presentan un epitelio prismático de células claras y oscuras y las asas de Henle están tapizadas por células aplanadas en los segmentos finos y células cúbicas en los porciones gruesas. El intersticio renal medular es más abundante y contiene una gran riqueza de vasos sanguíneos.
 |
 |
| M Esp-15 Riñón 10x |
|
M Esp-15 Riñón 20x |
 |
 |
| |
M Esp-15 Riñón 40x |
|
|
- Análisis histológico diferencial de las porciones cortical y medular del parénquima renal.
- Estudio detallado de los componentes glomerular, tubular, vascular e intersticial.
|