Órganos genitales y de sentidos
| M Esp-16
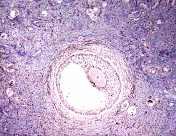
Ovario (Tricrómico de Masson) |
Visión general: a pequeños aumentos podemos distinguir la cortical ovárica, en la que se aprecian junto con pequeños folículos primordiales, la presencia de foliculos primarios, secundarios y terciarios o de De Graaf, sostenidos por el estroma rico en vasos sanguíneos.
Visión específica: la cortical ovárica aparece parcialmente revestida por restos del epitelio germinal sostenido por la albuguínea fibrosa. Se aprecian numerosos folículos primordiales con su ovocito y células capsulares aplanadas. Los folículos primarios unilaminares y multilaminares están compuestos por un ovocito con su zona pelúcida y una o varias capas de células poligonales de la granulosa separadas por un lamina basal de los células de la teca. Los folículos secundarios o antrales presentan junto con las mismas estructuras, aunque más desarrolladas, un espacio vacío configurando el antro folicular. Se diferencia en la teca una capa interna de células poligonales muy vascularizadas y una capa externa de células más fusiformes. El folículo maduro o terciario, de gran tamaño, presenta un ovocito excéntrico rodeado del cúmulo ovigero, una gran cavidad antral revestida por las células de la granulosa y externamente las células de la teca. El estroma es de aspecto fibroblástico con abundantes vasos sanguíneos.
- Estudio de la arquitectura histológica de la cortical ovárica, diferenciando el componente germinal del estrómico.
- Análisis detallado de los distintos folículos y sus capas, así como del epitelio superficial.
|
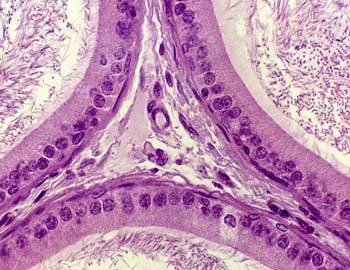
M Esp-17 Testículo y epididimo (Hematoxilina-eosina) |
Visión general: a pequeños aumentos distinguimos dos zonas estructurales diferentes correspondientes al parénquima gonadal testicular y al sistema ductal canalicular de la vía epididimaria.
Visión específica: los túbulos seminíferos en detalle presentan una fina capa basal con células mioepiteloideas. Formando la pared de los túbulos seminíferos nos encontramos con la sucesión en múltiples capas de células de sostén o de Serloli y de células germinales (espermatogonias, espaermatocitos y espemátides). En algunos de los túbulos encontramos espermatozoides maduros en la luz. El intersticio es laxo con capilares y células eosinófilas de Leydig. El epidídimo se observa como un conjunto de luces tubulares tapizadas por un epitelio prismático ciliado y un material luminal de aspecto fibrilar denso de espermatozoides.
 |
 |
| M Esp-17
Testículo 10x |
 |
M Esp-17
Testículo 20x |
 |
 |
 |
| M Esp-17
Epididimo 10x |
|
M Esp-17
Epididimo 40x |
 |
- Análisis histológico diferencial del parénquima germinal testicular y del epidídimo.
- Estudio pormenorizado del epìtelio germinal de los túmulos seminíferos y del epididimario.
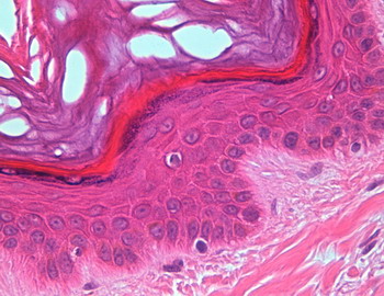
| M Esp-18 Piel fina (Hematoxilina-eosina) |
Visión general: a pequeños aumentos (4x) analizamos una sección de piel con la epidermis, dermis superficial o papilar y dermis profunda o reticular y la hipodermis con abundante tejido adiposo y gruesas estructuras vasculares.
Visión específica: a medianos y grandes aumentos vemos con detalle la epidermis con los correspondientes estratos. Es un epitelio plano pluriestratificado queratinizado, que, como se trata de una piel fina, la capa superficial de células anucleadas o escamas córneas no es muy ámplia. En la dermis papilar o superficial analizaremos el tejido conjuntivo laxo celular que la constituye. En la dermis reticular apreciaremos el tejido conjuntivo denso desordenado y en profundidad glándulas sudoríparas seccionadas en diferentes sentidos del espacio, observándose tanto las porciones secretoras, de tinción más pálida y más abundantes, como las porciones conductoras, de tinción más oscura y más escasas. También podremos encontrar folículos pilosos y glándulas sebáceas. En la porción más profunda podremos visualizar la estructuración de la hipodermis, con el tejido adiposo y las grandes estructuras vasculares que la conforman.
 |
 |
| M Esp-18
Piel fina 4x |
 |
M Esp-18
Piel fina 20x |
 |
 |
 |
| M Esp-18
Piel fina 40x |
 |
M Esp-18
Piel fina 63x |
 |
- Analizar las diferentes capas de la piel (epidermis, dermis e hipodermis) y su estructuración y caracteres citológicos.
- Estudiar con detalle los conductos y porciones secretoras de las glándulas sudoríparas que se aprecian en la porción profunda de la dermis reticular.
|