 |
 |
| I-1
H&E 150x |
 |
I-1
H&E 250x |
 |
 |
| |
I-1
H&E 400x |
 |
|
| I-2
Lipomatosis (infiltración grasa) de glándula parótida |
La
presencia de una infiltración adiposa intersticial en la glándula
parótida es un hecho relativamente frecuente sobre todo en
sujetos de edad avanzada, en pacientes diabéticos, hipertensos
o en el contexto de una obesidad generalizada. Se caracteriza por
la presencia de abundantes adipocitos maduros que se sitúan
entre el componente glandular disociándolo, pudiendo en ocasiones
producir una falsa hipertrofia (pseudohipertrofia) de la glándula.
La lipomatosis parotidea asimismo puede ocurrir en asociación
a una atrofia parenquimatosa del propio componente glandular.
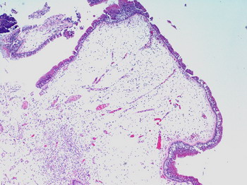
| I-3
Pólipo nasal de carácter inmunoalérgico
(edema intersticial) |
Se
trata de una lesión polipoide múltiple que puede afectar
tanto a las fosas nasales como a los senos paranasales. A menudo
aparece macroscópicamente como “bolsas” o “vesículas”
de contenido acuoso y que reconocen en su fisiopatología
un mecanismo de producción inmunoalérgico. Aparecen
revestidos en su superficie por un epitelio mucoso de tipo respiratorio.
En su estructura interna existe un marcado edema intersticial con
amplios acúmulos de material hídrico a nivel interstical
al que se asocia un componente inflamatorio variable con frecuente
presencia de leucocitos eosinófilos.