P-IV: LEUCOPLASIA ORAL Y LIQUEN PLANO LINGUAL

 

IV-1 Leucoplasia oral

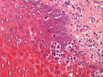
La leucoplasia (placa blanca) es un trastorno mucoso en el que la mucosa adopta una coloración macroscópica blanquecina. Histológicamente se caracteriza por un trastorno madurativo del epitelio mucoso con aparición de una queratinización orto o paraqueratósica con o sin rasgos displásicos asociados.
Este último aspecto es el que marca el probable carácter precanceroso de la lesión.

 

click para ampliar click para ampliar
IV-1 H&E 25x click para ampliar IV-1  H&E 250x click para ampliar
 click para ampliar
  IV-1  H&E 250x click para ampliar  

 

 

IV-2 Liquen plano de la mucosa oral

El liquen plano es una enfermedad mucocutánea que se caracteriza por la aparición de placas o pápulas a menudo con líneas o imágenes anulares blancas que se denominan líneas de Wickham y que forman una especie de encaje blanquecino sobre un fondo eritematoso. Clínicamente existen formas reticulares, atróficas y erosivas, si bien su diagnóstico cierto requiere siempre de una confirmación histopatológica. Morfológicamente se aprecia una mucosa lingual de grosor irregular con un infiltrado inflamatorio crónico que barre la unión epitelio/estromal, apreciándose un daño específico de las células basales, con exocitosis intraepitelial y presencia de cuerpos coloides de Civatte.

click para ampliar click para ampliar
IV-2 H&E 25x click para ampliar IV-2 H&E 100x click para ampliar
 click para ampliar
  IV-2 H&E 250x click para ampliar  

 

 

   

Inicio || Indice de prácticas