| V-1
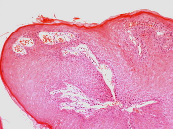
Papiloma de mucosa oral |
Se trata de una tumoración epitelial benigna,
de crecimiento exofítico, en este caso cubierta por un epitelio
pavimentoso con tendencia queratinizante superficial y con un núcleo
central de tejido conjuntivo fibrovascular. Estas lesiones suelen medir
menos de 1 cm, pueden ser sesiles o pediculadas, su coloración
macroscópica puede ser blanquecina (cubiertas generalmente por
epitelio queratinizado) o sonrosadas (cubiertas por epitelio no queratinizado).
La lesión puede ser solitaria, presentándose generalmente
en la mucosa del paladar blando, úvula, lengua, encía
y mucosa yugal, o bien tener un carácter múltiple (papilomatosis
oral), pudiendo detectarse en el contexto de una enfermedad de Heck.
En la etiología de estas lesiones tumorales benignas de la mucosa
oral se ha implicado a menudo el virus del papiloma humano (VHP) si
bien en ocasiones no es posible demostrar molecularmente la presencia
del genoma viral en estas lesiones por lo que probablemente algunas
de estas proliferaciones papilares focales de la mucosa (tumores epiteliales
benignos de la mucosa oral) no estén causadas por este agente
viral.
 |
| |
V-1
H&E 400x |
 |
|
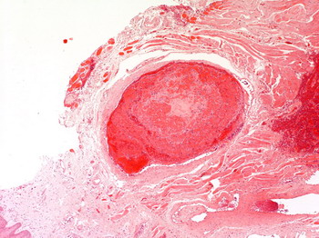
| V-2
Angioma mucoso trombosado lingual |
El
angioma (hemangioma) es una proliferación vascular benigna
de canales vasculares, en este caso de tipo capilar (hemangioma capilar).
Estas lesiones, en ocasiones, tienen un carácter proliferativo
más hamartomatoso que neoplásico, pudiéndose
detectar con un carácter congénito, presente ya desde
el nacimiento o afectando a niños de corta edad. En su presentación
pueden darse fenómenos de trombosis vascular organizada, como
el caso aquí presentado y en ocasiones mas infrecuentes se
pueden acompañar de una hiperplasia endotelial papilar intravascular
(tumor de Masson).
 |
| |
V-2
H&E 200x |
 |
|
| V-3
Adenoma pleomórfico (tumor mixto) de glándula
parótida |
Es
la forma tumoral benigna más frecuente de las glándulas
salivales (representando el 60% de los tumores de la parótida).
Su denominación hace referencia al aspecto histológico
heterogéneo que presenta, en la que se entremezcla de forma
abigarrada una proliferación de componentes epiteliales y
mioepiteliales glandulares con una amplia mezcla de diferentes componentes
titulares parenquimatosos y estromales en un mismo tumor (tumor
mixto), pudiendo presentar, en conjunción al componente epi/mioepitelial
áreas estromales hialinizadas, mixoides, condrales e incluso
óseas. El tumor suele aparecer encapsulado si bien con relativa
frecuencia existen fenómenos de disrupción capsular,
creándose nódulos tumorales satélites, que
originan un contorno multinodular y que favorecen los fenómenos
de recidiva postquirúrgica, si la resección/exéresis
del tumor no incluye los focos tumorales extracapsulares.
|