| VIII-1
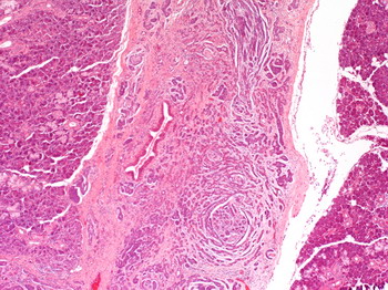
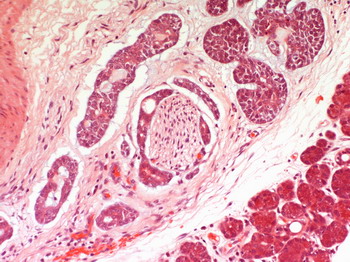
Carcinoma adenoide quístico (cilindroma) |
Es un tumor maligno de glándula salival que
puede surgir de glándulas salivales mayores (sobre todo en parótida)
o menores (sobre todo en el paladar), con una ligera predilección
por el sexo femenino. El crecimiento tumoral es lento, con tres subtipos
histológicos: cribiforme, tubular y sólido ó basaloide,
este último de mayor grado nuclear y mayor agresividad. Las recidivas
tumorales son muy frecuentes y en ocasiones muy tardías (10 a
15 años después de la exéresis) sobre todo por
el neurotropismo de este tumor, que tiende a embolizar vasos linfáticos
perineurales propagándose a través de los troncos neurales.
Clínicamente puede producir cuadros parestésicos del trigémino
(rama palatina mayor del trigémino) o del facial. Las metástasis
suelen ser hematógenas (pulmonares y óseas) y muy tardías
y en menor frecuencia a ganglios regionales. Es un tumor radiosensible.
Y la radioterapia postoperatoria esta indicada para eliminar posibles
focos tumorales que hayan pasado inadvertidos.
 |
 |
| VIII-1
H&E 40x |
 |
VIII-1
H&E 250x |
 |
 |
| |
VIII-1
H&E 250x |
 |
|
| VIII-2
Ameloblastoma (quístico) uniquístico, variante folicular
de hueso maxilar |
El
ameloblastoma es una neoplasia odontógena localmente agresiva,
que puede presentar una amplia variedad de patrones histológicos
que recuerdan morfológicamente a los estadios tempranos de
la odontogénesis. Se trata de un tumor con capacidad destructiva
local que puede producir grandes deformidades faciales, afectando
a la mandíbula o al maxilar, produciendo imágenes radiográficas
osteolíticas de aspecto quístico, uni o multilocular
que dan lugar a imágenes óseas “en burbujas de
jabón” con marcado adelgazamiento de la cortical externa
del hueso, que puede incluso llegar a romperse tras la palpación,
con un signo clínico diagnóstico denominado “crujido
de cáscara de huevo”. El caso a estudiar corresponde
a una lesión uniquística que se rodea de una fina “cáscara”
de tejido fibroso y cortical ósea maxilar. Internamente en
la pared del quiste se establece un crecimiento tumoral que crece
formando proyecciones papilares, que rellenan la luz del quiste, con
estructuras foliculares ameloblásticas que presentan una zona
central de retículo estrellado y una capa externa de células
ameloblásticas cilíndricas o en empalizada con “polarización
inversa” nuclear. Esta variante uniquística parece estar
dotada de una menor agresividad clínica si bien el ameloblastoma
en general es una lesión potencialmente agresiva, con capacidad
destructora ósea, con frecuente tendencia a la recidivas y
en ocasiones excepcionales incluso con capacidad de dar metástasis
ganglionares o pulmonares (ameloblastoma maligno)
|