placa cutánea dura al tacto rodeada de un halo eritematoso, característica de una placa de morfea

Morfea. Esclerodermia localizada. placas cutáneas induradas cubiertas de piel brillante con áreas hiperpigmentadas rodeadas de un halo inflamatorio eritematoso (anillo liliaceo). Lachapelle JM: Atlas of Dermatology. UCB pharmaceuticals

placas de morfea rodeadas de halo eritematoso

Morfea generalizada en el tronco de una mujer. Plcas escleroticas, hiprpigmentadas muy grandes. Connolly MK. Dermatologic Therapy 2001, 14:81.

placas de morfea de distribución lineal en un brazo

Morfea lineal en golpe de sable. Placa indurada, atrofica con depresion de planos profundos, de distribución lineal afectando a cuero cabelludo. Lachapelle JM: Atlas of Dermatology. UCB pharmaceuticals

Atrofia grasa afecntado a lamejilla derecha en una mujer con esclerodermia lineal. Connolly MK. Dermatologic Therapy 2001, 14:81.

 

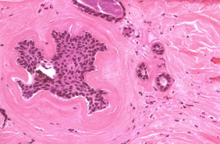
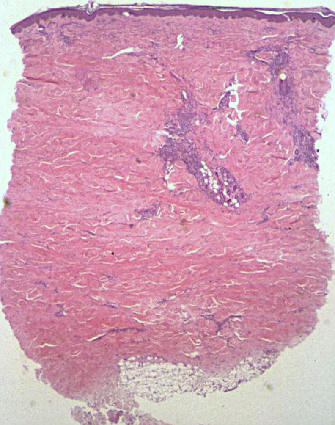
biopsia cutánea de una placa de morfea, mostrando la atrofia epidermica, con disminución de las crestas epidermicas interpapilares, disminución del número y tamaño de estructuras anexiales, presencia de infiltrado inflamatorio de predominio linfocítico y marcado engrosamiento del colágeno dermico que confiere a la biopsia una morfología cuadrada.

detalle de la biopsia de morfea