Imagenes clinicas de herpes gestationis
Mong-Shang L. Herpes Gestationis- Clinics in Dermatology 2001, 19:697

Paciente con herpes gestationis mostrando placas inflamatorias en región periumbilical

NLDTS version 2.0

Imagen clínica de placas urticariformes con vesiculación en abdomen en una paciente con herpes gestatitionis.

Mong-Shang L. Herpes Gestationis- Clinics in Dermatology 2001, 19:697

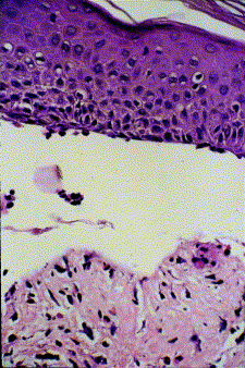
MOP de una lesion de un paciene con herpes gestationis mostrando una ampolla subepidermica acompañada de infiltrado inflamatorio de predominio eosinófilo.