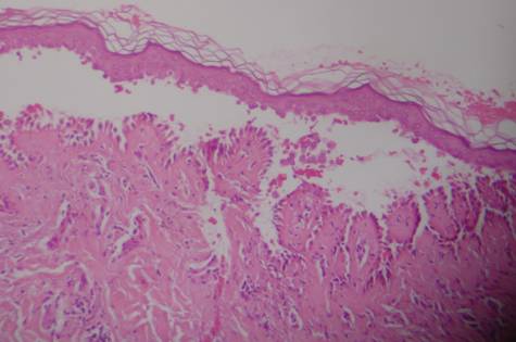
Paciente de 48 años con lesiones eritematosas cubiertas de costras en frente y torax (fig 1 y 2) asi como en mucosa oral (fig 3), cuyo estudio histopatológico mostró la presencia de una ampolla intraepidérmica por acantolisis suprabasal fig 4 y 5). La IFD e IFI confirmaron la presencia de anticuerpos anti sustancia intercelular en la piel perilesional y en sangre periféica. La paciente recibio tratamiento con prednisona y azatioprina. En el curso de su enfermedad desarrolló áreas de alopecia con formación de escamocostras que tras la limpieza mostro una erosion superficial compatible con lesion de pénfigo (fig 5 y 6). El estudio histológico de los pelos obtenidos del área de alopecia mostro una vaina externa del pelo conservada con escasos focos de acantolisis (fig 7 y 8). La IFD practicada sobre los pelos obtenidos mostró postividad con anticuerpos anti IgG siguiendo un patron intercelular característico del pénfigo vulgar (fig 8 y 9).










