
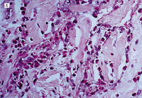
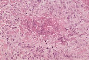
El 70% de los pacientes con la enfermedad de Churg-strauss desarrollan lesiones cutáneas en forma de nódulos cutáneos y subcutáneos, denominados granulomas extravasculares de Churg-Strauss. Caracterizados por áreas de necrosis del colágeno rodeados de infiltrado granulomatoso

Low-Dose Interferon Alfa-2b for the Treatment of Churg-Strauss Syndrome With Prominent Skin Involvement. Termeer CC, Simon JC, Schopf E. (Arch Dermatol. 2001;137:136-138).
Un varón de 68 años con historia de asma bronquial de repetición y sinusitis maxilar, desarrolló una infección bronquial severa que fue tratada con cotrimoxazol y posteriormente con defadroxil y prednisolona a dosis de 20 mg/dia. 3 semanas tras cesar el tratamieto antibiotico y estando en tto con prednisolona inicio un cuadro de asma bronquial severa, sinusitis, hipereosinofilia sistémica y unas lesiones cutáneas granulomatosas características en mitad superior de espalda, axila y región inguinal de crecimiento rápido en dias. Las lesiones consistían en placas eritematosas infiltradas de bordes bien definidos y crecimiento centrífugo. El diagnóstico clínico de S. Churg-Strauss se confirmó mediante biopsia cutánea que mostró un infiltrado masivo de eosinófilos.

