1019 (10 imágenes)
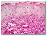
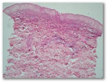
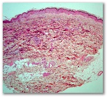
Urticaria?

Haz clic en una imagen para ampliarla.



Diagnostico


 

          Índice de casos                                                www.uv.es/derma