1041 (5 imágenes)
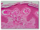
Lesión vascular en cuero cabelludo

Haz clic en una imagen para ampliarla.



Diagnostico


 

          Índice de casos                                                www.uv.es/derma