1074 (13 imágenes)
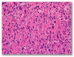
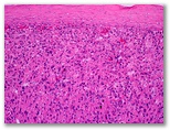
Nódulo en cuero cabelludo

Haz clic en una imagen para ampliarla.



Diagnostico


 

          Índice de casos                                                www.uv.es/derma