1081 (19 imágenes)
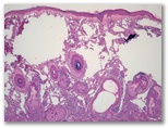
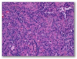
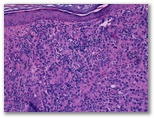
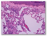
Nodulos equimóticos en región preauricular y retroauricular

Haz clic en una imagen para ampliarla.


 

Diagnostico


 

          Índice de casos                                                www.uv.es/derma 

 

Diagnostico


 

          Índice de casos                                                www.uv.es/derma