1084 (6 imágenes)
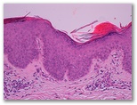
Varon VIH+ con eritrodermia

Haz clic en una imagen para ampliarla.


 

Diagnostico


 

          Índice de casos                                                www.uv.es/derma