1087 (12 imágenes)
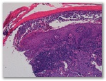
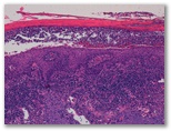
lesiones erosivas en mucosa oral. PV?

Haz clic en una imagen para ampliarla.



Diagnostico


 

          Índice de casos                                                www.uv.es/derma