1167 (5 imágenes)
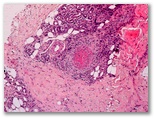
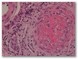
¿Eritema nodoso?

Haz clic en una imagen para ampliarla.


Diagnostico


 

          Índice de casos                                                www.uv.es/derma