1184 (13 imágenes)
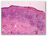
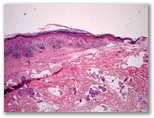
¿liquen plano pigmentado?

Haz clic en una imagen para ampliarla.



 

          Índice de casos                                                www.uv.es/derma