1437 (15 imágenes)
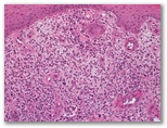
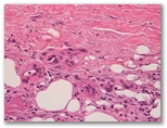
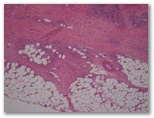
1437-R4-Paciente 75 a , con lesiones tumorales aisladas 2-3, infiltradas. CD3+/CD4+/-, CD30-neg, CD56 –neg, TIA1+
a. Linfoma anaplasico
b. Papulosis linfomatoide
c. Linfoma NK
d. Leucemia de células dendríticas
 

Haz clic en una imagen para ampliarla.



 

          Índice de casos                                                www.uv.es/derma