1461 (9 imágenes)
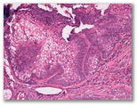
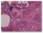
1461-Bcc?¿
1. Hiperplasia sebácea
2. Adenoma sebáceo
3. Carcinoma sebáceo
4. Sebaceoma
5. Acantoma reticulado con diferenciación sebácea
6. Carcinoma sebáceo ocular
 

Haz clic en una imagen para ampliarla.


Diagnostico


 

          Índice de casos                                                www.uv.es/derma