1476 (6 imágenes)

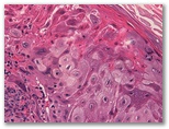
1476-R2-lesión nodular en dedo

1.       Vasculitis

2.       Quiste mixoide

3.       Otro

Haz clic en una imagen para ampliarla.


 

Diagnostico


 

          Índice de casos                                                www.uv.es/derma