1532 (12 imágenes)
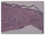
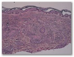
1532- Paciente con artralgias, paraproteinemia IgA y lesiones cutáneas
progresivas de varios meses de evolución que se ilustran en las imágenes
1. Gota
2. Eritema elevatum diutinum
3. Arteritis macular
4. Granuloma anular
5. Vasculitis leucocitoclástica
Haz clic en una imagen para ampliarla.
Diagnostico