1533 (10 imágenes)


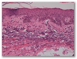
1533- Paciente varón de 64 años, con linfadenopatia generalizada, hepatoesplenomegalia,, e hipergamaglobulinemia. La analítica muestra inmunocomplejos circulantes, y crioaglutininas. La biopsia ganglionar muestra una marcada proliferación de vasos venulares en las zona paracorticales.. El motivo de la consulta es la erupción cutánea ilustrada.
1. Enfermedad de Hodgkin cutánea
2. Necrolisis epidérmica tóxica
3. Toxicodermia
4. Reacción tipo toxicodermia asociada a linfadenopatia angioinmunoblastica
 

Haz clic en una imagen para ampliarla.


Diagnostico


 

          Índice de casos                                                www.uv.es/derma