1566 (7 imágenes)

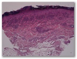
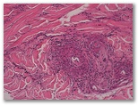
1566-R2-mácula purpurica
1. Síndrome de Schnitzler
2. Eritema elevatum diutinum fase tardía
3. Síndrome de Sweet
4. Granuloma facial
5. Otro

Haz clic en una imagen para ampliarla.


Diagnostico


 

          Índice de casos                                                www.uv.es/derma