1670 (12 imágenes)
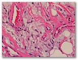
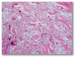
R3a-170-nodulo
a) Lipoma
b) Lipomatosis del nervio
c) Angiolipoma
d) Lipoma de células fusiformes
e) Hibernoma
f) Lipoma condroide
g) Tumor lipomatoso atípico
 

Haz clic en una imagen para ampliarla.


Diagnostico


 

          Índice de casos                                                www.uv.es/derma