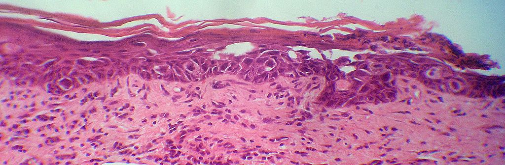
Biopsia (13679) que muestra los cambios que observas en las imágenes.

ampliar imatge ampliar imatge ampliar imatge ampliar imatge ampliar imatge ampliar imatge ampliar imatge ampliar imatge ampliar imatge ampliar imatge ampliar imatge 

Descripción histológica

Diagnóstico

                                                       Siguiente caso