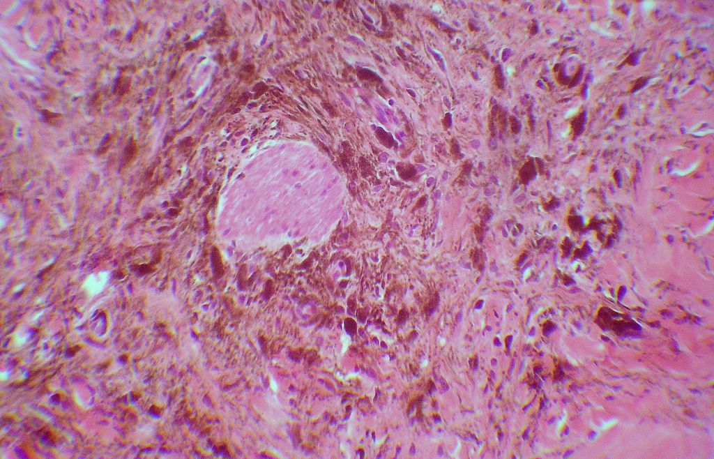
Biopsia (13898) que muestra los cambios que observas en las imágenes.

ampliar imatge ampliar imatge ampliar imatge ampliar imatge ampliar imatge

Descripción histológica

Diagnóstico

                                                       Siguiente caso