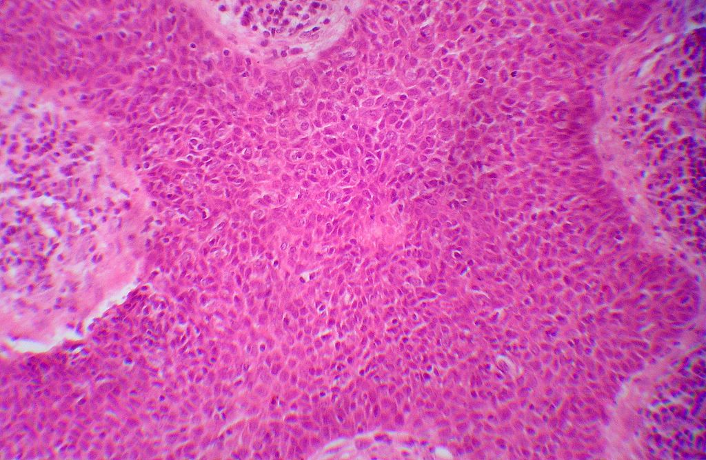
Biopsia (13944) que muestra los cambios que observas en las imágenes.

ampliar imatge  ampliar imatge ampliar imatge ampliar imatge ampliar imatge ampliar imatge ampliar imatge ampliar imatge ampliar imatge ampliar imatge 

Descripción histológica

Diagnóstico