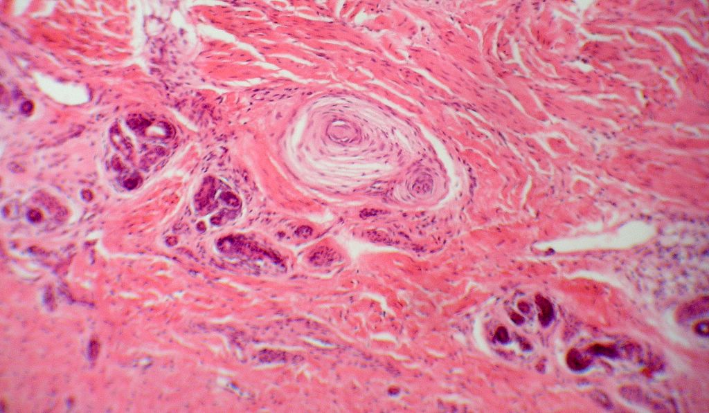
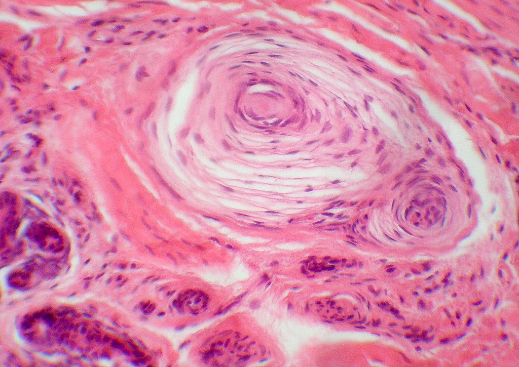
Tumoración en cara externa del 5º dedo en paciente pediátrico.

Biopsia (14206) que muestra los cambios que observas en las imágenes.

ampliar imatge  ampliar imatge ampliar imatge ampliar imatge ampliar imatge ampliar imatge ampliar imatge ampliar imatge ampliar imatge ampliar imatge  ampliar imatge ampliar imatge ampliar imatge

Descripción histológica

Diagnóstico