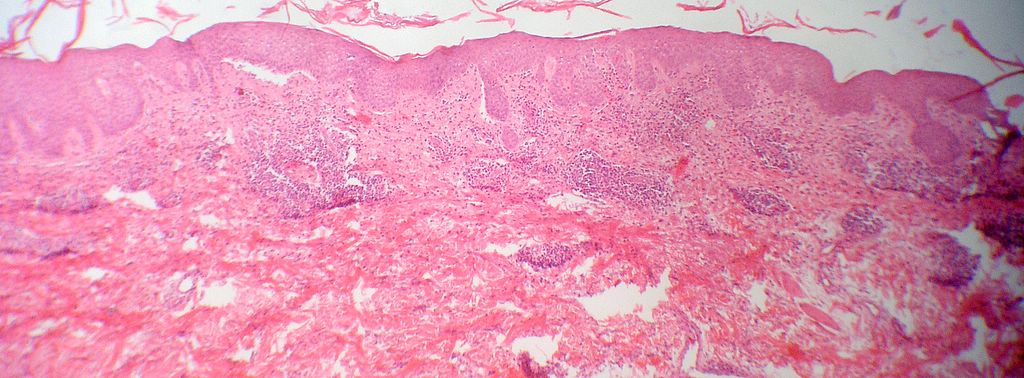
Biopsia (14066)que muestra los cambios que observas en las imágenes.

ampliar imatge ampliar imatge ampliar imatge ampliar imatge ampliar imatge ampliar imatge ampliar imatge 

Descripción histológica

Diagnóstico