20060623-II -- p1010011.jpg

Primera | Imagen anterior | Imagen siguiente | Ăšltima | Miniaturas



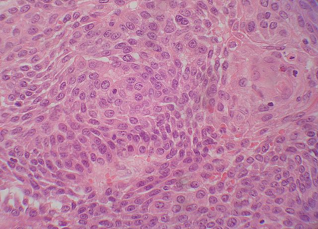
Descripcion histologica

Diagnostico

          Indice de casos                                                www.uv.es/derma