2066-¿?


Haz clic en una imagen para ampliarla.


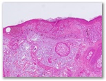
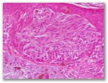
Diagnostico


 

          Índice de casos                                                www.uv.es/derma