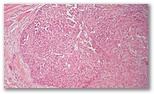
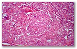
Lesión localizada en parpado 234 (10 imágenes)
96 17832

Haz clic en una imagen para ampliarla.



Descripcion histologica

Diagnostico

          Índice de casos                                                www.uv.es/derma