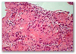
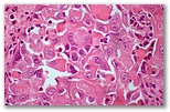
302 (7 imágenes) Haz clic en una imagen para ampliarla. Descripcion histologica Diagnostico Indice de casos www.uv.es/derma
Haz clic en una imagen para ampliarla.
Descripcion histologica
Diagnostico
Indice de casos www.uv.es/derma