356 (11 imágenes)

Haz clic en una imagen para ampliarla.



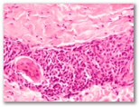
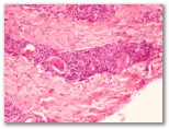
Descripcion histologica

Diagnostico

          Índice de casos                                                www.uv.es/derma