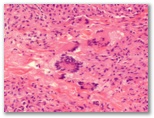
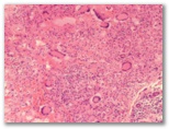
394 (18 imágenes)
Biopsia de la colección del Prof. R.K. Winkelmann. Grupo Español de dermatopatologia mayo 1981

Haz clic en una imagen para ampliarla.



Diagnostico


 

          Índice de casos                                                www.uv.es/derma