463 (10 imágenes)

Haz clic en una imagen para ampliarla.


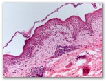
Paciente de 18 años que acude a urgencias por lesiones cutáneas generalizadas, algunas necroticas, de 15 dias de evolución.


Diagnostico


 

          Índice de casos                                                www.uv.es/derma