464 (10 imágenes)

Haz clic en una imagen para ampliarla.


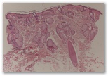
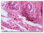
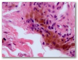
Paciente en tratamiento con amiodarona que consulta por un cuadro intolerancia luminica facial


Diagnostico


 

          Índice de casos                                                www.uv.es/derma