501 (14 imágenes)
mujer de 45 años, con múltiples lesiones papulares en cara, nariz y pabellón auricular

Haz clic en una imagen para ampliarla.


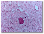
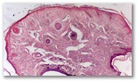
biopsia 1

biopsia 2

biopsia 3


Diagnostico


 

          Índice de casos                                                www.uv.es/derma