535 (8 imágenes)

Haz clic en una imagen para ampliarla.



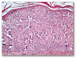
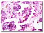
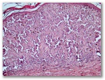
Diagnostico


 

          Índice de casos                                                www.uv.es/derma