549 (10 imágenes)
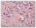
Niña de 14 años, con lesión nodular recidivada en dorso de pie.

Haz clic en una imagen para ampliarla.


 

Diagnostico


 

          Índice de casos                                                www.uv.es/derma