566 (12 imágenes)

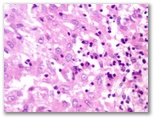
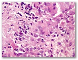
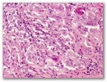
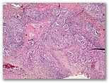
Lesión en cara lateral de dedo recidivada.

Haz clic en una imagen para ampliarla.



Diagnostico


 

          Índice de casos                                                www.uv.es/derma